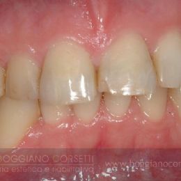
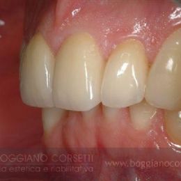
Faccette
Le faccette sono sottili gusci di ceramica: applicate sulla superficie esterna del dente, ne mascherano imperfezioni legate al colore, alla forma o alla posizione.
La preparazione del dente consiste nell’asportare una piccola porzione di sostanza dentale, variabile secondo il caso; si tratta di una procedura conservativa, che non comporta danno alla polpa e rimane entro i limiti dello smalto.
Lo spessore molto sottile della ceramica (0,4 - 0,6 mm) conferisce al rivestimento quella semi-trasparenza così naturale che ha fatto il successo di questo restauro. Infatti, lo speciale effetto “lente a contatto” lo rende praticamente invisibile, permettendo di ottenere un risultato eccellente.
Indicazioni
Le faccette si utilizzano su un dente fondamentalmente sano, ma con problemi estetici,tra i quali:
-
discromie (macchie permanenti) che non si possono migliorare con le tecniche di sbiancamento
-
diastemi (spazio fra i denti), dove si applicano ai denti faccette di dimensione leggermente maggiore di quella della superficie di applicazione, in modo da riempire gli spazi vuoti
-
otturazioni con difetti di colore, risultato del deterioramento di otturazioni bianche.
In questi casi, le faccette sono la soluzione migliore per un risultato a lungo termine. La natura “vetrosa” della porcellana, infatti, ha la caratteristica di non subire pigmentazioni,a differenza dei materiali compositi. -
Denti con anomalie di forma, come, ad es., la forma conoide (una delle anomalie più frequenti) o dove esista la necessità di trasformare la forma di un dente in un altro, come nel caso di questo canino trasformato con una faccetta in laterale.
-
Denti che presentano difetti dello smalto, quali l’amelogenesi imperfetta. Per simili correzioni si richiedono tecniche cliniche e di laboratorio molto sofisticate , oltre a una grande perizia tecnica.
-
Denti con forme scorrette o usurate dove si voglia migliorare la forma del dente.
-
Denti abrasi, quale risultato di processi erosivi: chimici (vomito da bulimia, abuso di bevande acide, quali limone o vari tipi di cola); meccanici (bruxismo, scorretto spazzolamento).
-
Denti con anomalie di posizione: denti ruotati o disallineati possono essere corretti con l’utilizzo delle faccette, creando,così, un effetto di “ortodonzia istantanea”.
Ortodonzia istantanea
Con questa tecnica vi forniamo la possibilità di migliorare immediatamente l’aspetto dei vostri denti disallineati o affollati, senza la necessità di dover passare attraverso mesi di apparecchio.
Vantaggi e svantaggi delle faccette
-
Le faccette in porcellana richiedono una preparazione del dente estremamente conservativa e consentono il raggiungimento di un risultato estetico che non ha eguali con altri trattamenti.
-
Presentano una forte resistenza all’abrasione e un’elevata stabilità cromatica.
-
La durata del restauro e la perfetta adesione al dente si devono all’eccellente legame del cemento resinoso con la ceramica e lo smalto mordenzati. Questo legame, infatti, e’ il piu’ forte tra quelli ottenibili in odontoiatria, grazie agli adesivi smalto-dentinali, le “colle” che rendono possibile legare i materiali da restauro estetico con i tessuti dentari.
-
Una volta cementate al dente, inoltre,diventano tutt’uno con esso e rinforzano la struttura dentaria residua.
-
Pazienti con parafunzione (sfregamento e serramento dei denti) non sono candidati ideali per un simile trattamento; in questi casi, e’ consigliabile risolvere il problema prima ancora di procedere a un progetto di restauro.
-
Viceversa, le faccette in porcellana rappresentano un eccellente trattamento in tutti i casi in cui si voglia migliorare forma e colore dei denti, aumentando il piacere del paziente di sorridere liberamente.
La durata
Le faccette si mantengono integre per molto tempo, se vengono seguiti gli appositi protocolli di fabbricazione da parte del dentista e di mantenimento da parte del paziente.
Ma, attenzione: il processo di preparazione è irreversibile. Una volta ricoperto dalla lamina di porcellana, il dente avrà sempre bisogno di un’analoga faccetta per avere un aspetto normale, perché la superficie viene leggermente fresata per ricevere la faccetta. E poiché è improbabile che essa - come del resto qualsiasi altro restauro odontoiatrico - duri per sempre, è bene entrare nell’ordine di idee che nel tempo, in media una decina d’anni o più, sarà indispensabile sostituire la vecchia faccetta con una nuova.
Ma benché l’applicazione di una faccetta di porcellana non sia reversibile, la quantità di struttura dentale che viene asportata è di gran lunga inferiore a quella richiesta da altri restauri, per esempio le corone dentali.
Perciò, quando esistono le indicazioni appropriate per l’applicazione di una faccetta di porcellana, questa dovrà sempre essere considerata il trattamento d’elezione.
Curiosità…
Queste faccette vengono considerate una tecnica innovativa, ma in effetti esistevano già dei prototipi prima dell’epoca attuale; infatti furono introdotte dal dr. Charles Pincus nella Hollywood degli anni ’30 per migliorare l’aspetto degli attori nei primi piani cinematografici. Il dr. Pincus applicava questi sottili rivestimenti con una polvere adesiva per dentiere, per poi rimuoverli ogni giorno alla fine delle riprese, visto che all’epoca non esisteva un sistema per fissarli in modo permanente.
Oggigiorno le faccette presentano una forte resistenza all’abrasione e un’elevata stabilità del colore e con le nuove tecniche di cementazione il rischio di frattura è probabilmente inferiore a quello delle corone in metallo ceramica o in ceramica integrale.
Come posso prendermi cura delle mie faccette?
Le faccette vanno gestite scrupolosamente, come d’altronde gli altri denti.
Vanno spazzolate quotidianamente dopo i pasti con un movimento gentile dello spazzolino verso il basso, movimento che non sia traumatico per la gengiva per evitare retrazioni.
Passare quotidianamente (meglio la sera prima di coricarsi) tra dente e dente il filo interdentale, prestando particolare attenzione al bordo gengivale.
Per prevenire danni o fratture alle faccette evitare di addentare cibi od oggetti troppo duri (es. ghiaccio).
I denti con faccette o intarsi, come tutti gli altri denti, richiedono controlli specifici e regolari (normalmente ogni sei mesi), che, associati ad una scrupolosa igiene orale, oltre a mantenere sani denti e gengive, permettono alle vostre faccette di durare a lungo.



















