Sostituzione di corone con il bordino metallico e/o esteticamente inadeguate
Corone: Si tratta di manufatti protesici che rivestono completamente un dente compromesso da lesioni cariose o traumatiche (frattura).
Nel caso di denti devitalizzati (indeboliti , quindi, nella loro porzione centrale) fungono da protezione, evitando il rischio, spesso elevato,di frattura.
Abbracciando la circonferenza del dente, infatti, funzionano come la ferula, il cerchio metallico che tiene unite le assi di una botte, impedendone l’apertura.
Le corone in metallo-ceramica, fino ad oggi le più utilizzate, sono costituite da un’anima metallica (lega aurea), su cui viene stratificata della ceramica nello stesso colore dei denti adiacenti.
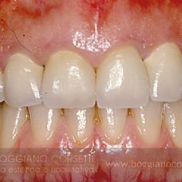
Lo svantaggio più grosso di questi manufatti protesici è la mancanza di traslucenza a livello gengivale, poiché i raggi della luce incidente, diversamente dal dente naturale, vengono bloccati dalla presenza del metallo sottostante, e questo, anche in corone ben eseguite provoca frequenti inestetismi:
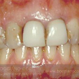
La zona di finitura capsula-dente, inoltre, è costituita da un bordino metallico, spesso rivestito da un materiale opacizzante, che traspare attraverso la gengiva rovinando la naturalezza del sorriso.
Questi problemi, associati alle esigenze estetiche sempre crescenti della nostra epoca, hanno portato a produrre corone in ceramica integrale, che hanno permesso di ottenere risultati eccellenti proprio perché, prive di anima metallica, riproducono la trasparenza del dente naturale (vedi menù).
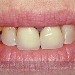
Spesso i problemi estetici lamentati dai pazienti si risolvono semplicemente sostituendo le vecchie corone in metallo ceramica, fino ad oggi le più largamente utilizzate grazie alla loro resistenza e a un aspetto accettabile, ove correttamente applicate.
Benchè resistenti e durature, però, capita che le corone si scheggino o si fratturino, e bisogna sostituirle: quando cominciano a deteriorarsi, infatti, non solo interferiscono con l’igiene e la masticazione, ma , in un’ area visibile, creano un effetto ottico di imperfezione che altera l’estetica generale.
Sostituzione di corone con il bordino metallico e/o esteticamente inadeguate
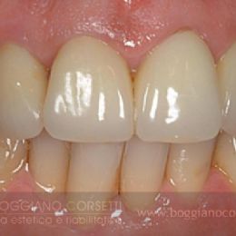
La dr. Corsetti può sostituire le tue vecchie corone con i più innovativi materiali, quali le ceramiche integrali di ultima generazione, che riproducono perfettamente la trasparenza, il colore e la luminosità dei tuoi denti, ridando armonia e naturalezza al tuo sorriso.
La ceramica integrale di ultima generazione può essere utilizzata anche per ponti e corone nel settore posteriore
Qual è la differenza tra una corona o un ponte in ceramica integrale e quelli in metallo-ceramica?
Le corone in ceramica integrale hanno una splendida translucenza, come i denti naturali. Il materiale in ceramica integrale non presenta alcuna linea grigia poco naturale vicino alle gengive perché è privo di metallo ed è biocompatibile.
















