Dicono di noi
Studio Odontoiatrico a Pietrasanta Boggiano Corsetti. In questa pagina raccogliamo alcuni articoli apparsi in diverse riviste del settore e non.

SPECIALE ODONTOIATRIA
Dall'inserto "Più salute & benessere" de "Il Sole 24 ore".
Leggi l'articolo in formato PDF
Una collaudata équipe di specialisti è il punto di forza dello Studio Boggiano Corsetti, centro odontoiatrico a un passo dal cuore storico di Pietrasanta. Ce ne parlano i soci fondatori, la dottoressa Silvia Corsetti e il dottor Alessandro Boggiano. Che hanno un motto: trasformare una bocca problematica in un sorriso affascinante.
La dentatura è una faccenda troppo complessa per lasciarla nelle mani di un solo specialista”. Scherzano ma fino a un certo punto i titolari dello Studio Boggiano Corsetti, centro odontoiatrico poli-specialistico in Pietrasanta che del lavoro in team ha fatto uno dei propri punti di forza. “Se la tendenza, in medicina, è per un approccio multi-disciplinare, in odontoiatria l’azione di squadra “sul campo” diventa assolutamente indispensabile. Non solo per offrire prestazioni mediche ad alto livello nelle varie patologie, ma per garantire un servizio ottimale anche negli interventi di makeover, cioè estetica e ricostruzione, che sono i più delicati”, spiega la dottoressa Silvia Corsetti, socio fondatore del centro assieme al dottor Alessandro Boggiano, suo sodale nella vita e nella professione.


“Lo studio – spiega la dr. Corsetti – nasce dall’associazione di diversi professionisti in gran parte con esperienza maturata negli Stati Uniti. Io mi sono specializzata in protesi alla Columbia University di New York, mio marito Alessandro si è perfezionato in implantologia alla Miami University; in seguito si sono aggiunti vari collaboratori come il dr. Francesco Pedetta, ortodonzista specializzato alla Pennsylvania University, l’endodonzista dr. Emanuele Randellini, professore a contratto all’Università di Siena, e il nostro anestesista, il dr. Franco Santoli. È questo assetto che ci dà “la capacità e l’esperienza di trasformare una bocca problematica in un sorriso affascinante”, come recita il nostro motto”.
Il lavoro in team si rivela particolarmente efficace anche sotto il profilo del servizio. “L’odontoiatria moderna è profondamente cambiata – prosegue il dr. Boggiano – ma grazie alle politiche di prevenzione è cambiato anche l’atteggiamento del paziente, sempre più esigente e informato. Il fatto che, nella dentatura, funzionalità ed estetica siano strettamente connesse, è un concetto che non c’è più bisogno di spiegare: non per niente gli interventi di estetica e riabilitazione, due settori su cui il nostro studio ha scelto di puntare in modo particolare, sono in costante crescita. La presenza dell’anestesista ci permette inoltre di rendere semplici e indolori anche interventi chirurgici importanti: nel caso di un’implantologia estesa, per esempio, l’anestesia in sedazione è decisamente preferibile alla sola anestesia locale.
Nel nostro studio ci sono le condizioni per realizzare il cosiddetto carico immediato, ossia installare impianti e protesi nella stessa giornata anziché in diverse sedute: il vantaggio è enorme soprattutto per il paziente, non più costretto a restare 3-6 mesi con la bocca sdentata o denti provvisori. E se fino a poco tempo fa non era possibile effettuare un impianto in qualsiasi condizione, oggi, grazie alle tecniche di rialzo del seno mascellare e di GBR (Guided Bone Rigeneration – Rigenerazione guidata dell’osso, ndr), che possono essere precedenti o contestuali all’intervento, siamo in grado di posizionare gli impianti pressoché in ogni tipo di bocca. Altro punto chiave, l’aggiornamento: a differenza dello studio monocratico, dove un unico medico deve destreggiarsi tra varie discipline senza poterle approfondire, da noi ogni specialista cura il proprio settore di competenza e può mantenersi al corrente su quanto c’è di meglio in fatto di procedure e materiali”.
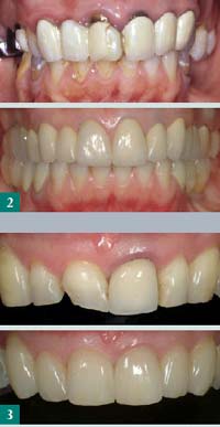
“Anche in estetica, il mio campo specifico, il lavoro d’équipe è essenziale. Per restituire al paziente un sorriso piacevole ma soprattutto naturale, infatti, non basta abbellire o sbiancare, ma occorre ristabilire le corrette proporzioni fra un dente e l’altro, tra i denti e il sorriso e tra il sorriso e il volto. Le tecniche sono numerose, dai trattamenti più semplici per attenuare piccoli difetti a interventi complessi che possono comportare vari step come guarire parodontiti, accorciare gengive, correggere malposizioni, eccetera: qui è la collaborazione tra protesista, parodontologo e ortodonzista a permetterci di raggiungere quello che chiamiamo extreme smile makeover”. Ma l’approccio multi-disciplinare dello Studio non si limita agli specialisti... “Tra i servizi che offriamo c’è anche l’immediata calibratura delle protesi, estetiche e non solo: lo studio comprende anche un piccolo laboratorio dove i manufatti ceramici, elaborati da un odontotecnico esterno, possono essere sistemati in tempo reale.
Grazie a specifiche esperienze acquisite in Usa, infatti, ho il know how per apportare personalmente le piccole modifiche necessarie a completare il lavoro sul paziente senza farlo tornare settimane dopo”. Oltre a questo lo Studio Boggiano Corsetti è uno dei pochi in Italia che si occupa fattivamente anche di odontofobia, ovvero la proverbiale paura del dentista: “Si tratta di un timore ancora frequente – prosegue il dr. Boggiano – senza distinzione di ceto ed età. In questi casi possiamo ricorrere alla semplice sedazione farmacologica mediante ansiolitici, oppure all’analgesia sedativa, più profonda, tramite il protossido d’azoto che rilassa il paziente ed eleva la soglia del dolore; per le situazioni più complesse c’è la sedazione cosciente via endovena, che mantiene il paziente in semi-veglia ma in grado di interagire col medico”.
“Qui si evidenzia ancora una volta il ruolo dell’anestesista – conclude la dottoressa Corsetti – che non solo provvede alla sedazione ma può monitorare l’attività cardiaca del paziente 4durante l’intervento e, in fase post-operatoria, all’occorrenza somministrargli farmaci antidolorifici sempre per endovena. Questo ci consente di curare un vasto range di pazienti, dai bambini a persone in età avanzata, ma specialmente i soggetti con patologie cardiache, a cui spesso certe cure dentarie sono precluse. Prendersi cura della bocca senza alcun rischio: grazie al team, questo è possibile”.
