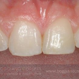
Ricostruzioni estetiche in composito
La ricostruzione estetica o dental bonding è una procedura di odontoiatria estetica che, con estrema efficacia e velocità, ci permette di migliorare la forma irregolare di un dente, correggere macchie permanenti, chiudere gli spazi tra i denti o ripristinare la forma di quelli scheggiati.
In sostanza, la Dott.ssa Silvia Corsetti a Pietrasanta in Versilia aggiunge uno strato di composito sui tuoi denti modellandolo fino ad ottenere la forma desiderata.
Il composito, che è una resina altamente micro-riempita di particelle di quarzo e di silice, viene “polimerizzata” con l’ausilio di un fascio di luce ultravioletta, raggiungendo un elevata durezza.
Inoltre, poiché il composito si presenta con tutta una serie di sfumature di colore, possiamo scegliere quello che meglio si armonizza con il tuo dente. Questo conferisce al dente un impercettibile, ma sostanziale miglioramento.










